異位妊娠名詞解釋(妊娠異位的臨床表現)
正文共:6219字 7圖
預計閱讀時間:16分鐘
異位妊娠是指受精卵在宮腔之外異常種植并生長。正常情況下,受精卵經輸卵管遷移植入到宮腔內膜,若無法到達其正常位置,則可導致異位妊娠。異位妊娠是世界范圍內導致生育期女性高發病率和高死亡率的主要來源,尤其在發展中國家。
異位妊娠導致的并發癥也是美國女性妊娠早期死亡的首要原因。異位妊娠的破裂可導致腹腔積血和失血性休克,因此早期診斷是及時治療的關鍵所在。來自美國的 Ghaneie 等學者在 2015 年第 6 期的 J Ultrasound Med 雜志上就異位妊娠的超聲診斷和臨床治療進行了匯總闡述(PMID:26014313 )。
異位妊娠的發生率在過去數十年日漸增高,其原因主要是由于危險因素的增多以及早期及時的診斷。據文獻報道,異位妊娠的發生率目前已升高至 19.7:1000,多數患者年齡在 35 歲以上,以非白種人群居多。
導致異位妊娠的危險因素主要是由于輸卵管功能異常,從而影響受精卵正常植入宮腔。這些危險因素包括先前的異位妊娠病史、輸卵管手術史(如輸卵管結扎)、性傳播疾病或盆腔感染性疾病、子宮內膜炎、吸煙、服用僅含孕酮的避孕藥以及人工輔助生殖技術(如試管嬰兒,IVF),其中盆腔感染性疾病是導致一般人群患病的最常見危險因素。
盡管近年來異位妊娠的發病率升高,但其診斷仍有難度,高達 50% 的患者因急癥就診后未能隨即確診。異位妊娠的早期表現和體征與正常妊娠相似,包括月經推遲、陰道流血、腹痛或背痛、惡心和乳房脹痛,這些癥狀最早通常在末次月經后第 6 周開始出現。一般體格檢查所見如宮頸舉痛、可觸及的附件腫塊、宮腔出血等,若同時合并妊娠試驗陽性,也能提示診斷。
經陰道超聲是診斷異位妊娠的首選檢查方式,其診斷標準包括:(1)宮腔外可見存活胎兒;(2)宮腔外可見妊娠囊,其內可見卵黃囊或胎芽;(3)輸卵管環征;(4)附件區非囊性腫塊等。Brown 等分析指出,臨床疑似娠患者若出現附件區非囊性腫塊,其對異位妊娠的診斷敏感性約 84%,特異性 99%,陽性預測值 96%,陰性預測值 95%。Condous 等發現,經陰道超聲對異位妊娠的診斷敏感性約 91%,特異性 100%,陽性預測值 94%,陰性預測值 100%。
異位妊娠中,95%-97% 發生在輸卵管,其中以壺腹部最常見(70%),其次為峽部(12%)和傘部(11%),這可能與輸卵管壺腹部及峽部的管腔內徑變化有關。另外,壺腹部位于輸卵管遠端,易被感染。然而,約 3%-5% 的異位妊娠也可出現在其他部位,包括腹腔、宮頸、卵巢、剖腹產瘢痕處、輸卵管間質部或壁內段。罕見情況下,異位妊娠也可同時合并宮內妊娠。
腹腔妊娠
腹腔妊娠是指妊娠囊位于腹腔內,而非輸卵管、卵巢或闊韌帶(圖 1)。腹腔妊娠的發病率約占所有妊娠的 1:2200-10200,占所有異位妊娠的 1%。然而,也有研究發現其發病率在發展中國家可高達 1:402,這可能與盆腔感染性病變的高發病率和治療不徹底有關。腹腔妊娠的危險因素與其他異位妊娠相似,但可卡因的使用只與腹腔妊娠相關。雖然腹腔妊娠罕見,但作為一種高危疾病,孕婦和圍產期死亡率分別高達 0.5%-20% 和 40%-95%。
腹腔妊娠可分為原發性和繼發性兩種。原發性罕見,是指受精卵直接種植于腹腔,診斷標準包括:(1)輸卵管和卵巢正常;(2)子宮與腹腔間無瘺管存在;(3)妊娠囊早期即附著于腹膜面,可排除繼發性腹腔妊娠可能。繼發性腹腔妊娠較原發性多見,是指宮腔外妊娠破裂后(最常見為輸卵管妊娠),孕囊再次種植于腹腔。另外,根據妊娠時間,腹腔妊娠又可分為早期(<20 周)和晚期(>20 周)。
腹腔妊娠最常表現為下腹部疼痛,疼痛部位與種植部位相關,其種植部位包括常見的子宮、腸管、膀胱以及罕見的脾臟、肝臟或縱隔等。臨床上,若輕松即可觸及胎兒或發現胎兒位于腹腔時應考慮到腹腔妊娠的可能。
超聲檢查是診斷腹腔妊娠的首選,但有超過一半的病例可能漏診,其聲像圖特征包括:(1)與膀胱相鄰的子宮空虛,胎兒周圍無子宮肌層環繞;(2)胎盤難以顯示;(3)胎兒所處位置異常;(4)相對羊水過少。
其他特征還包括胎盤位于宮外、胎兒與母體腹腔內容物相鄰等。盆腹腔 MRI 也可用于腹腔妊娠評估,有助于明確孕婦和胎兒解剖,確定胎盤準確位置,以便術前制定合理計劃,降低胎盤切除時的風險,減少大出血。
腹腔妊娠的治療措施應依據患者的不同情況進行,包括診斷時的孕周、胎盤位置、生育狀況、生育需求以及手術耐受程度等。若為妊娠早期存在胚胎時,應首選剖腹手術,腹腔鏡手術可用于低?;颊?;若發現時已經為妊娠晚期,則應選擇剖腹手術。也有單獨或聯合使用 MTX 或行術前胎盤栓塞的報道。
Dahab 等曾報道過 1 例腹腔妊娠,因漏診導致足妊經剖腹產分娩。不管采用哪種治療方式,根據影像學表現制定細致的術前計劃,是防止并發癥、減少死亡率的首要條件。

圖 1 腹腔異位妊娠。A,經腹部超聲矢狀面圖像顯示位于子宮(U)上方、卵巢(O)前方的腹腔妊娠。實時超聲檢查時可見胎兒活動;B,經腹部超聲橫切面圖像顯示另一更大孕周的腹腔妊娠,同樣位于子宮上方
宮頸妊娠
宮頸妊娠是另一種罕見的異位妊娠,指妊娠囊異位種植于宮頸內口以下的宮頸管內(圖 2),其發病率約占異位妊娠的 1% 以下。宮頸妊娠的確切病因未知,其相關危險因素包括宮腔粘連、剖腹產、子宮肌瘤和既往治療性流產等。近年來,輔助生殖技術也導致宮頸妊娠的發生率增高,其中 IVF 發生宮頸妊娠的比例約為 1:1000。
宮頸妊娠臨床一般表現為妊娠早期的無痛性陰道流血,其原因部分是由于供應滋養層的血管經宮頸壁進入子宮所致,這種流血可非常嚴重,常導致孕婦死亡。因此,早期診斷及時處理對于降低發病率和死亡率非常關鍵。
超聲對于宮頸妊娠的診斷具有非常大的價值,目前已有專門的超聲指南用于協助影像醫生和臨床醫生進行診斷,其標準包括:(1)宮腔內無妊娠囊回聲;(2)宮腔內膜呈蛻膜樣變,表現為致密高回聲;(3)子宮外形呈沙漏樣;(4)宮頸管呈球形;(5)妊娠囊位于宮頸內膜;(6)宮頸管內見胎盤組織;(7)宮頸內口閉合。另外,宮頸妊娠與宮頸流產(宮內妊娠流產途經宮頸管)的鑒別非常重要(圖 3)。
一般來說,若宮腔內可見殘留妊娠組織、宮頸內口開放以及彩色多普勒檢查未見心管搏動或宮頸實質內未見血流可提示診斷宮頸流產。同時,超聲連續掃查時宮頸流產可表現妊娠囊形狀或位置因稍微受壓而多變(滑動征),但宮頸妊娠時均無這些表現。
宮頸妊娠應根據患者的不同臨床表現和聲像圖特征如是否存在胎心搏動、孕婦心功能情況等選擇不同的治療方式,包括在確切治療前先經宮頸填塞或球囊進行暫時壓迫、子宮動脈栓塞以控制或減少出血、子宮動脈栓塞同時擴張宮頸與刮宮術去除滋養層、宮腔鏡切除術和子宮切除術等。全身化療藥物如肌注 MTX 可作為備選方案。

圖 2 宮頸異位妊娠。經陰道超聲矢狀面(A)和橫切面(B)圖像顯示宮頸內的異位妊娠。子宮直腸陷窩內可見游離液體

圖 3 宮頸流產?;颊咭蜿幍懒餮腿爰痹\科,矢狀面(A)和橫切面(B)圖像顯示宮頸內的流產過程,1 周前超聲顯示宮內正常妊娠
剖腹產瘢痕妊娠
瘢痕妊娠是指妊娠囊種植于剖腹產后的瘢痕處,其周圍可見瘢痕處肌層和纖維組織環繞,而與宮腔有明確分離(圖 4)。一般認為,瘢痕妊娠可能是最為罕見的異位妊娠之一,但也可能并非想象中的罕見。
瘢痕妊娠確切發病機制未知,比較公認的解釋是在瘢痕與內膜之間存在小的管腔,妊娠囊經此進入肌層內,這種通道也可因創傷或其他子宮手術導致。瘢痕妊娠的其他危險因素還包括多次剖腹產史、胎盤病變、異位妊娠以及臀位剖腹產。
瘢痕妊娠可不表現任何癥狀,或僅表現為早期妊娠的無痛性流血,其他少見表現包括陰道流血合并輕度腹痛或僅表現腹痛。若出現劇烈疼痛或大出血,則應考慮妊娠破裂。
經陰道超聲相對可明確診斷,其敏感性約 86%。檢查時應首先排除宮內妊娠、宮頸妊娠或輸卵管妊娠。異位于子宮前壁或瘢痕處的妊娠囊內可有或沒有胎芽,膀胱與妊娠囊間的肌層菲薄或消失。瘢痕處孕囊有時可向宮腔生長,罕見情況下可發育到可見胎兒。種植部位越深,發生破裂和大出血的危險性越大。
彩色多普勒超聲一般可顯示滋養層周圍的血流灌注,并可用于評估膀胱壁的侵襲程度。部分疑難病例可采用 MRI 檢查,以進一步明確盆腔解剖的狀況。
瘢痕妊娠可根據其臨床表現選擇多種治療方式,其治療目的與其他異位妊娠一樣,阻止孕囊進一步生長,并以安全的方式終止妊娠。治療方式包括局部 MTX 注射的保守治療和完全子宮切除術。

圖 4 剖腹產瘢痕處妊娠。經腹(A)和經陰道(B)超聲顯示位于子宮下段內的異位妊娠。MRI 軸位(C)、冠狀面(D)和矢狀面(E)的 T2 加權相確定異位妊娠位于子宮下段的剖腹產瘢痕處
異位雙胎妊娠
異位雙胎妊娠是指宮內和宮外同時妊娠(圖 5),其中的宮外妊娠大部分發生在輸卵管,也可發生在其他部位。異位雙胎妊娠的發病率逐年上升,從 1948 年約占所有孕婦的 1:30000 上升至現今的約 1:3800,其中主要因素是 IVF 使用的增多。據估計,IVF 女性的發病率高達 1:100。盆腔感染性疾病也與之有關。其他危險因素還包括異位妊娠病史、盆腔手術史以及先天性和后天性子宮宮腔異常。
由于異位雙胎妊娠發病率的增高,早期診斷對于治療和臨床處置非常關鍵,但其診斷頗具難度。根據臨床病史、體格檢查和實驗室檢查,細致完整的經陰道超聲檢查可協助臨床醫生做出及時準確的診斷。
一般來說,β-hCG 水平低于單純宮外妊娠時的相應孕周水平,然而由于同時存在正常宮內妊娠,其水平也可正常,因此價值不大。β-hCG 水平陰性時,可明確排除正常宮內妊娠或異位妊娠。由于β-hCG 陽性結果的特異性較低,應考慮其他診斷方式如經陰道超聲。
某些臨床表現可以提示宮腔妊娠,包括腹痛、子宮增大、附件區腫塊以及腹膜刺激征等,但對于異位雙胎妊娠并無特異性。由于異位雙胎妊娠存在宮內妊娠,臨床上并不表現陰道流血,可籍此與單純的異位妊娠相鑒別。此外,異位妊娠破裂時,患者可表現急腹癥和休克。
超聲檢查是診斷的關鍵,但有近一半病例漏診,其中一個原因就是在發現正常宮內妊娠后未能細致檢查附件區。因此,對于臨床懷疑異位妊娠患者,即便發現了宮內妊娠,也應仔細檢查。異位雙胎妊娠的聲像圖特征除了伴有宮內妊娠外,與其他類型的異位妊娠無明顯不同。檢查中若發現卵巢腫塊,鑒別診斷包括卵巢妊娠、黃體或出血性囊腫,應定期復查以明確診斷。
異位雙胎妊娠的治療目前仍有爭議,尚未有公認的治療方案,因此處置時應考慮患者的不同狀況,包括宮內妊娠的類型、異位妊娠內是否存在胎心搏動、宮內妊娠是否存活以及患者自身的血流動力學情況等。文獻曾報道的治療方式有手術、藥物和期待療法等。若宮內妊娠存活,應盡可能在保證宮內妊娠安全的情況下對異位妊娠進行有效的處理。

圖 5 異位雙胎妊娠聲像圖。橫切面圖像(A-C)顯示宮腔內一 6 周大小的妊娠囊,其后方可見部分混合回聲積液(A);矢狀面(D)和橫切面(E)圖像顯示右側卵巢增大,回聲不均質,其內可見一小囊樣結構。根據聲像圖和臨床表現,診斷為異位雙胎妊娠;圖 F 和圖 G 顯示另一例右側附件區的異位雙胎妊娠
間質部異位妊娠
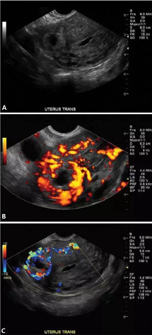
間質部異位妊娠是另一種罕見的異位妊娠,是指胚泡種植于輸卵管與子宮交界處的間質部(圖 6),其發病率約 2%-4%,死亡率約 2.0%-2.5%。間質部妊娠也曾稱為宮角妊娠,然而兩者并不完全相同。
宮角妊娠有兩種不同的類型,一為雙角子宮宮角妊娠(cornual pregnancy),指妊娠囊種植于雙角子宮的一個宮角內,另一種為正常子宮宮角妊娠(angular pregnancy),指妊娠囊種植于子宮與輸卵管相連的一側宮角。間質部妊娠最常見的危險因素是 IVF,其他還包括子宮畸形、輸卵管切除術后、排卵誘導、異位妊娠史以及性傳播疾病病史等。
間質部妊娠是最難準確診斷的異位妊娠之一,其最具特異性的聲像圖特征為「間質線樣征」,表現為從妊娠囊邊緣向宮角內膜延伸的線樣高回聲,此高回聲為輸卵管的間質部。以此征象診斷間質部妊娠的敏感性約 80%,特異性約 98%。其他超聲診斷標準包括妊娠囊與離其最近的宮腔距離超過 1 cm、妊娠囊周圍的肌層厚度<5 mm。
若無「線樣征」,根據后兩者表現以及宮腔無妊娠囊診斷間質部妊娠的敏感性約 40%,特異性 90%。近年來,三維超聲和 MRI 也已被用于更好地評估盆腔,協助診斷異位妊娠,其敏感性和特異性較常規超聲更高。
根據孕周不同,可選擇不同的治療方法。若妊娠囊外有肌層環繞,則可持續生長至妊娠中期,此時孕囊破裂或鄰近的子宮動脈破裂可導致大出血。手術治療指征包括妊娠囊即將破裂或已經開始破裂、孕婦血流動力學不穩定以及存在 MTX 使用禁忌。另外,若存在胎心搏動或 β-hCG 水平>5000mIU/mL 時,MTX 治療效果差。其他治療方式還包括腹腔鏡下宮角挖除孕囊或宮角切除、局部注射血管收縮劑、局部或全身應用 MTX 等。

圖 6 輸卵管間質部妊娠聲像圖;橫切面圖像(A)顯示子宮右側壁內可見一高回聲區,其周圍僅有較薄的肌層環繞;橫切面能量多普勒和彩色多普勒圖像(B 和 C)顯示血供增多,提示存在間質部妊娠
卵巢妊娠
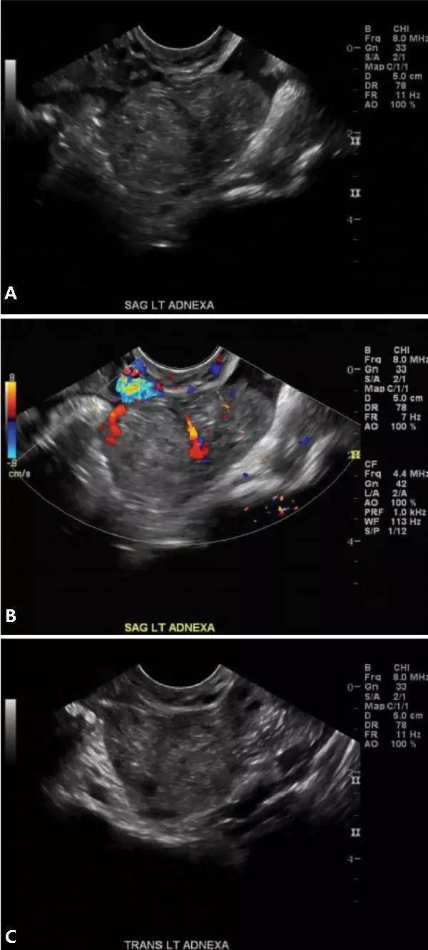
卵巢妊娠也是一種少見的異位妊娠,約占所有異位妊娠的 0.5%-3%(圖 7),此比例較以往有所增高,主要是檢查技術進展導致的發現率增高以及危險因素的增加。與卵巢妊娠相關的危險因素包括宮內節育器使用、輔助生殖技術如 IVF、子宮內膜炎、盆腔感染性疾病以及既往手術史。患者最常表現為盆腔疼痛和陰道流血,但也有部分患者并不表現癥狀,近 60% 患者可觸及附件區腫塊。
卵巢妊娠大多為術中診斷,其診斷的解剖學和組織學標準包括:(1)輸卵管完整并與卵巢分界明確;(2)妊娠囊占據盆腔內正常卵巢的位置;(3)妊娠囊經卵巢韌帶與子宮相連;(4)妊娠囊周圍的標本中存在卵巢組織。盡管超聲技術已快速發展,但其術前準確診斷仍有難度。卵巢異位妊娠常易與出血性黃體囊腫、巧克力囊腫以及破裂或完整的輸卵管妊娠相混淆。
某些聲像圖特征可有助于卵巢妊娠的鑒別診斷。卵巢妊娠的周邊表現為較寬的環形強回聲,中央為無回聲,而輸卵管妊娠或黃體的周邊強回聲一般較??;可疑腫塊周圍存在卵巢實質;罕見的,卵巢內可見妊娠囊或胎心搏動。
卵巢妊娠破裂多數發生在妊娠 40 天之前,也偶有持續生長至妊娠晚期的報道。如前文所述,卵巢妊娠大都因懷疑輸卵管妊娠或黃體破裂而手術時偶然發現。卵巢妊娠最常手術治療方式為卵巢切除,如有生育要求,也可行卵巢楔形切除。也有報道采用保守藥物治療,尤其是全身 MTX 應用或經腹腔鏡 MTX 妊娠囊內注射。
無論何種治療,早期準確的超聲診斷可協助臨床醫生制定適宜的術前計劃,以降低并發癥風險。

圖 7 卵巢妊娠聲像圖;矢狀切面(A 和 B)以及經陰道橫切面(C)圖像顯示左側附件區不均質回聲腫塊;彩色多普勒圖像(B)顯示左側卵巢內血供增多,提示存在異位妊娠
結論
異位妊娠的總體發病率持續升高,早期識別其征象和癥狀是獲得最佳預后的重中之重。及時的藥物或手術治療是降低發病率和死亡率的關鍵,也是保留生育功能的關鍵。盡管異位妊娠的發病率增高,但在急癥狀態下診斷仍有難度。因此,熟練掌握盆腔超聲檢查對于疑似患者非常重要。
經陰道超聲在診斷異位妊娠中扮演了重要角色。部分聲像圖特征,如宮腔未見妊娠囊和間質部線樣征等,有助于醫生提高鑒別診斷能力,做出準確診斷,從而制定合理的治療方案。